职位推荐
- 珍格医疗-临床销售 15001-20000
- 地奥制药-医药代表 6001-8000
- 普利德医疗-医疗设备销售经理 面议
- 大唐-兼职招商经理 面议
- 景德中药-直营经理 6001-8000
- 安邦医药-省区招商经理 8001-10000
- 恒瑞医药-医药信息沟通专员 6001-8000
- 黄河中药-学术讲师 8001-10000
发布日期:2025-09-22 浏览次数:48
近日,四川大学华西医院疼痛科肖红主任医师团队成功为一名带状疱疹后神经痛患者实施了我院首例长时程脊髓电刺激穿刺电极植入术,术后患者疼痛显著缓解,生活质量明显改善。这标志着我院疼痛科在神经调控领域的技术水平再上新台阶,为更多顽固性神经病理性疼痛患者带来新的希望。
廖先生(化名),71岁,因带状疱疹后神经痛持续1年多,存在长期的胸背部疼痛,严重影响了日常生活与睡眠。2024年7月来我院肖红主任医师处就诊。肖红主任医师团队在全面评估、仔细讨论后,认为廖先生经过前期大剂量止痛药物治疗欠佳,且疼痛程度剧烈,根据廖先生的实际情况,肖红主任医师决定为廖先生行短时程脊髓电刺激一期测试治疗。
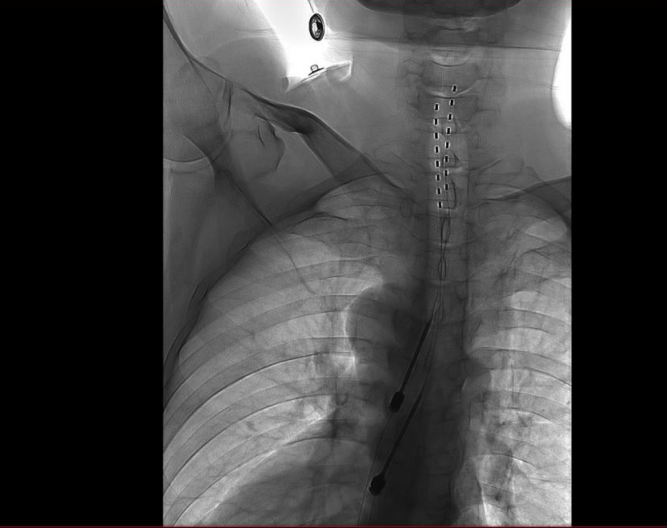
脊髓电刺激是一种通过将电极置入硬膜外腔,以低强度电流刺激脊髓后柱,抑制疼痛信号传导的神经调控技术,具有可逆性、微创性和可调控性等特点,已成为国际公认的治疗难治性神经病理性疼痛的重要手段。肖红主任医师团队通过局麻下经穿刺针将临时电极置入硬膜外腔,连接体外脉冲发生器。经测试,疼痛区域范围全覆盖,手术顺利完成。随后,通过术后每天记录疼痛改善程度及日常生活能力变化,廖先生的疼痛评分较前明显下降,镇痛效果明确。
从一期手术10天后电极被取出,到今年9月,廖先生疼痛又逐渐恢复至术前水平,既提示其疼痛具有持续性和难治性,又表明其对脊髓电刺激治疗反应良好,符合开展二期长时程脊髓电刺激植入术的指征。肖红主任医师表示,“相较于短时程一期测试治疗,长时程脊髓电刺激可实现持续的镇痛效果,患者可根据自身情况,通过遥控器自行调节,在提高镇痛效果的同时减少镇痛药物使用量,从而降低药物相关不良反应。”
经过神经外科、康复科等多学科团队充分评估与讨论,肖红主任医师团队为廖先生实施了二期长时程脊髓电刺激植入术。
手术通过微创硬膜外腔穿刺技术,于DSA(数字血管剪影造影)引导下将极细的电刺激电极与植入式脉冲发生器共同植入体内。
手术历经3小时,病人恢复良好。术后1周内,团队根据患者疼痛缓解及感觉区覆盖情况,对植入电极的刺激参数进行多次动态调控,目前廖先生疼痛明显减轻,预计可于近期顺利出院。
据了解,华西医院疼痛科自2022年起累计完成超过150例短时程脊髓电刺激治疗,积累了丰富的临床经验。本次成功开展长时程脊髓电刺激植入,标志着我院脊髓电刺激穿刺电极植入技术体系实现了从短时程到长时程的拓展,将为今后更多顽固性带状疱疹相关神经痛及其他神经病理性疼痛患者提供更完善的治疗方案。
300多万优质简历
17年行业积淀
2万多家合作名企业
微信扫一扫 使用小程序
