职位推荐
- 珍格医疗-临床销售 15001-20000
- 地奥制药-医药代表 6001-8000
- 普利德医疗-医疗设备销售经理 面议
- 大唐-兼职招商经理 面议
- 景德中药-直营经理 6001-8000
- 安邦医药-省区招商经理 8001-10000
- 恒瑞医药-医药信息沟通专员 6001-8000
- 黄河中药-学术讲师 8001-10000
发布日期:2025-11-28 浏览次数:30
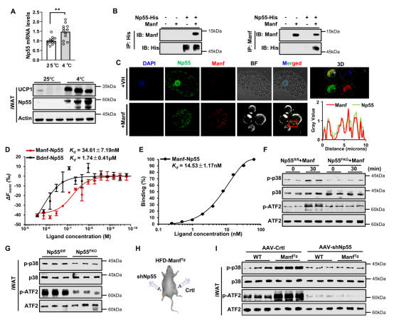
2025年11月,我院临床药学部(药剂科)何金汗教授、临床药学研究所李艳萍研究员团队在国际期刊Proceedings of the National Academy of Sciences of the United States of America (PNAS,IF: 9.1)发表题为Neuroplastin-55 is a receptor of Manf and protects against diet-induced obesity by promoting adipose browning的研究性论文。研究揭示了脂肪组织的跨膜蛋白Neuroplastin-55作为肝脏分泌蛋白Manf的受体在维持机体代谢稳态中的关键作用,为肥胖及糖脂代谢紊乱相关疾病的治疗提供了新思路。

白色脂肪组织棕色化可以增加机体能量消耗,是肥胖治疗的一种新策略。在该研究中,课题组发现膜受体Neuroplastin-55(Np55)在肥胖人群及肥胖小鼠模型的脂肪组织中的表达显著上调。脂肪特异性敲除Np55显著抑制机体能量消耗,加剧高脂饮食诱导的肥胖。课题组前期研究报道了中脑星形胶质细胞源性神经营养因子(Manf)是一种摄食诱导的肝脏分泌蛋白,可通过促进白色脂肪细胞棕色化改善肥胖及胰岛素抵抗(Journal of Experimental Medicine, 2021)。
研究团队通过蛋白组学检测发现Np55是Manf在脂肪细胞上的受体,且两者具有高结合亲和力。进一步的机制研究显示,Manf与Np55结合后,可促进Np55与肿瘤坏死因子受体相关因子-2 (TRAF2)和凋亡信号调节激酶1 (ASK1)形成三元复合物,激活下游p38 MAPK信号通路,从而诱导皮下脂肪棕色化。研究还发现,脂肪组织中的Np55在Manf诱导的产热和减重作用中是不可或缺的。

该研究工作揭示了Np55作为Manf受体在维持机体代谢稳态中的关键作用,为肥胖及糖脂代谢紊乱相关疾病的治疗提供了新思路。

何金汗教授、李艳萍研究员为通讯作者,内分泌代谢科助理研究员贾清怡博士后为第一作者。该研究工作得到了国家自然科学基金、四川省科技厅及我院学科卓越发展“1·3·5工程”等基金资助。
原文链接:https://doi.org/10.1073/pnas.2515526122
300多万优质简历
17年行业积淀
2万多家合作名企业
微信扫一扫 使用小程序
